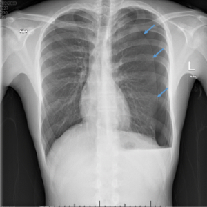
Bilateral pneumothorax
Figure 1: Bilateral pneumothorax - blue arrows show lung edge
Page published:
Page updated:
Advancing paediatric surgery through education and research
Copyright © 2026 British Association of Paediatric Surgeons Lovingly crafted by Mixd